Table of Contents
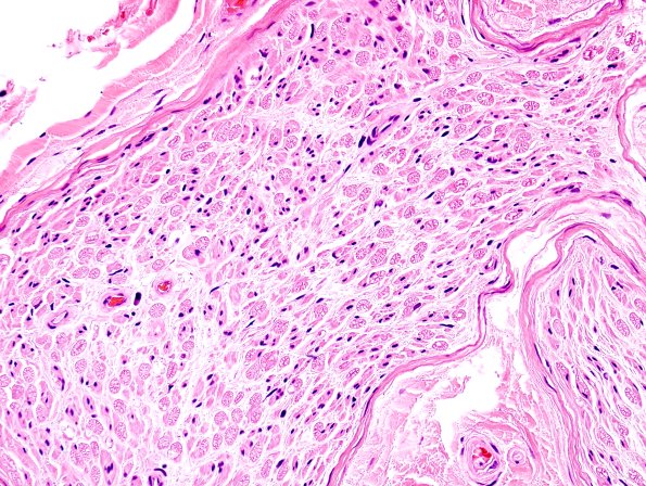
Washington University Experience | PERIPHERAL NEUROPATHY | 0 PNS ARTIFACTS | 5D Artifact, neurokeratin H&E 2
5D-F This pattern is designated as a “wagon wheel” appearance in cross sections in human (5D), monkey (5E) and Cheetah (5F); it is thought to represent autolysis. (H&E )
