Table of Contents
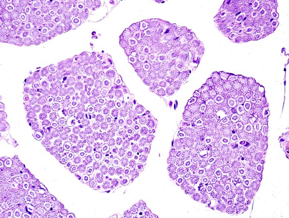
Washington University Experience | PERIPHERAL NEUROPATHY | 0 PNS ARTIFACTS | 5E Neurokeratin artifact (Monkey) H&E 1
This pattern is designated as a “wagon wheel” appearance in cross sections in monkey (5E) and Cheetah (5F); it is thought to represent autolysis. (H&E )
