Table of Contents
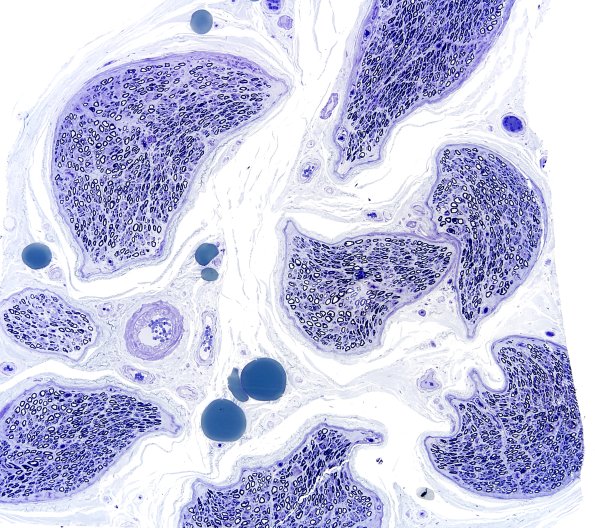
Washington University Experience | PERIPHERAL NEUROPATHY | 0 PNS ARTIFACTS | 6A1 Artifact, hyperosmolar Plastic 1A
6A1,2 These are shrunken fascicles which are the result of hyperosmolar fixative. (Toluidine blue stained one micron thick plastic embedded sections)
