Table of Contents
Washington University Experience | PERIPHERAL NEUROPATHY | 0 PNS ARTIFACTS | 6B1 Artifact, perineurial shape H&E 1
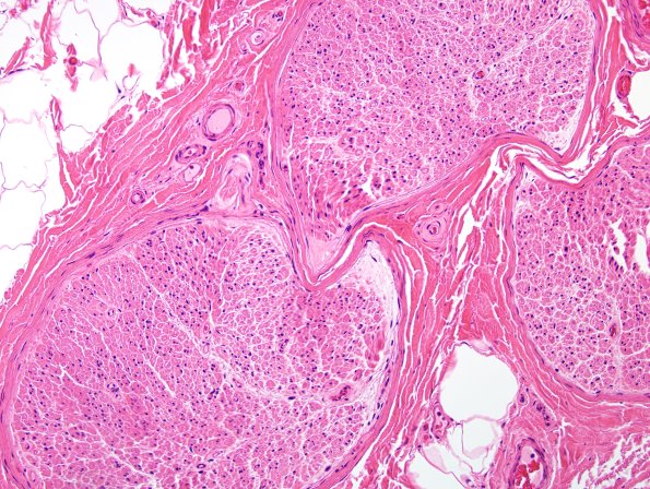
The loss of a circular perimeter with one fascicle invaginating another may also be seen near a scalpel cut/crush site. (H&E)
