Table of Contents
« prev
next »
Washington University Experience
|
PERIPHERAL NEUROPATHY
|
0 PNS ARTIFACTS
|
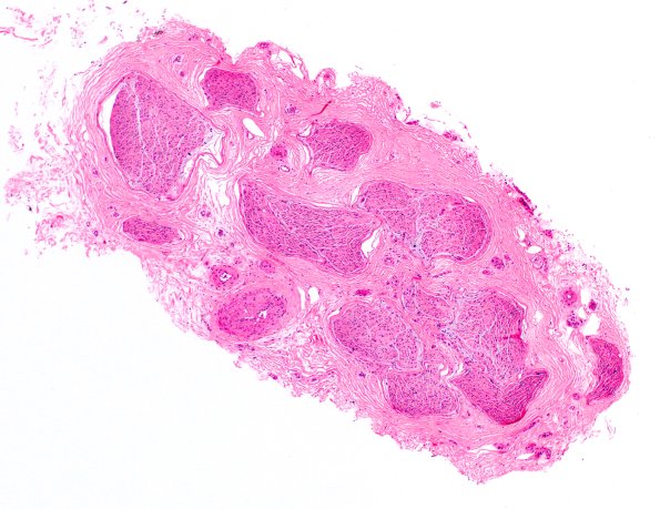
6C1 Crush artifact 4X
6C1-4 This nerve biopsy has suffered crush artifact which has caused individual fascicles to invaginate others. (H&E)
Image Info
Camera Maker:
Olympus
Camera Model:
DP74
Shutter Speed:
23/50000 sec
Metering Mode:
Multi-Spot
Gallery RSS
|
Archive View
|
Login
|
Powered by
Zenphoto