Table of Contents
Washington University Experience | PERIPHERAL NEUROPATHY | 0 PNS ARTIFACTS | 7B1 Artifact, separation myelin, Amiodarone (B1899)_005a - Copy
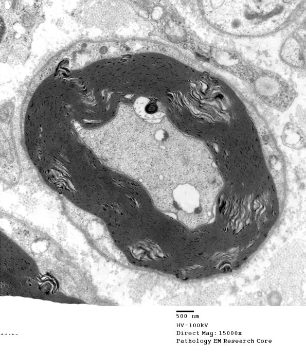
Small splits in the myelin sheath itself are common alterations thought to reflect problems with dehydration of the specimen during processing. (electron micrograph)
