Table of Contents
Washington University Experience | PERIPHERAL NEUROPATHY | 0 PNS ARTIFACTS | 9A1 Artifact, electrocautery Plastic 4 copy.jpg
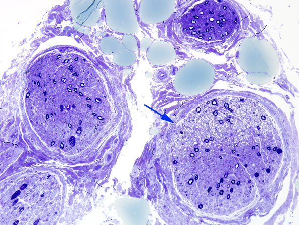
Surgical electrocoagulation wreaks havoc on the appearance of the endoneurium (arrow). (Toluidine blue stained one micron thick plastic embedded sections)
