Table of Contents
Washington University Experience | PERIPHERAL NEUROPATHY | 0 PNS ARTIFACTS | 9A2 Artifact, electrocautery Plastic 1.jpg
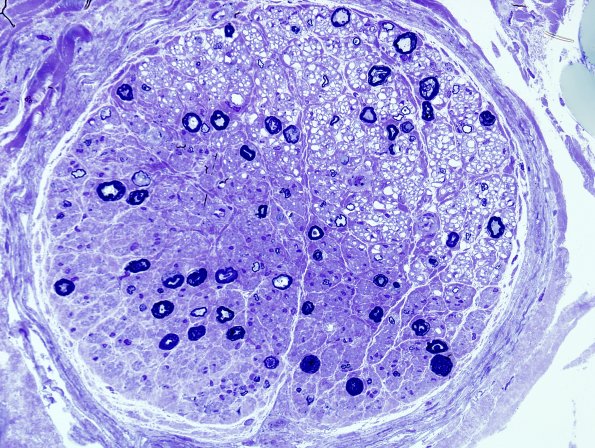
9A2,3 Higher magnification images of the effects of electrocautery. (Toluidine blue stained one micron thick plastic embedded sections)
