Table of Contents
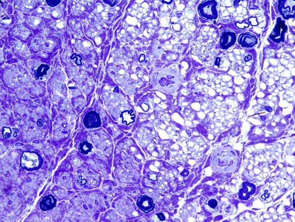
Washington University Experience | PERIPHERAL NEUROPATHY | 0 PNS ARTIFACTS | 9A3 Artifact, electrocautery Plastic 3.jpg
9A2,3 Higher magnification images of the effects of electrocautery. (Toluidine blue stained one micron thick plastic embedded sections)
