Table of Contents
« prev
next »
Washington University Experience
|
PERIPHERAL NEUROPATHY
|
0 PNS ARTIFACTS
|
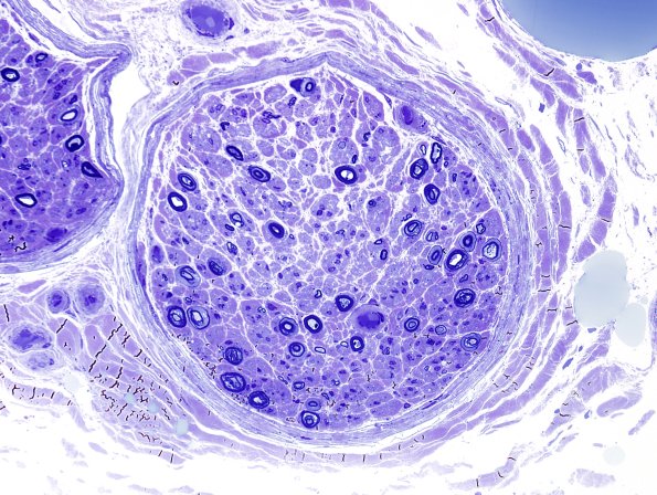
9A4 artifact, electrocautery deeper cuts same fascicle Plastic 1.jpg
Cutting deeper in the block may correct the appearance shown in image #9A2.
Image Info
Camera Maker:
Olympus Corporation
Camera Model:
DP70
Original Time Taken:
01-11-2014
Shutter Speed:
1/246 sec
ISO Sensitivity:
200
Metering Mode:
Spot
Gallery RSS
|
Archive View
|
Login
|
Powered by
Zenphoto