Table of Contents
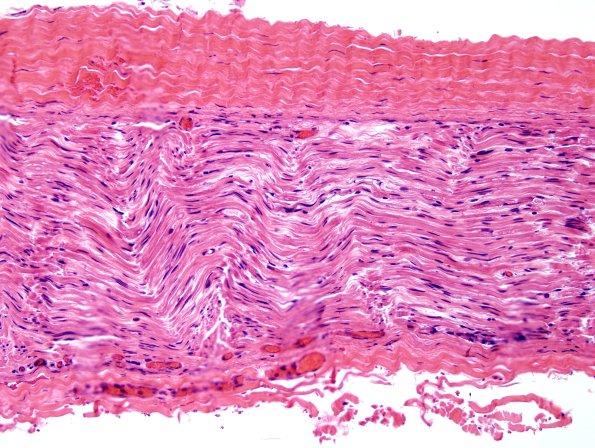
Washington University Experience | PERIPHERAL NEUROPATHY | 1 NORMAL NERVE ANATOMY | 1 Normal H&E | 10A Peripheral nerve, wavy appearance, three dimensional appearance (Case 10) H&E
Longitudinal sections often have a wavy appearance in H&E stained material which may make following individual axons problematic. (H&E)
