Table of Contents
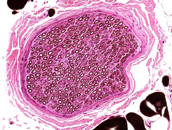
Washington University Experience | PERIPHERAL NEUROPATHY | 1 NORMAL NERVE ANATOMY | 1 Normal H&E | 12A Nerve, Posterior Cutaneous (Case 12) Osmium & H&E.jpg
A similar accentuation of myelinated axons is seen in this H&E-Osmium preparation.
