Table of Contents



Washington University Experience | PERIPHERAL NEUROPATHY | 1 NORMAL NERVE ANATOMY | 1 Normal H&E | 15A Mast Cell (Case 15) H&E 2

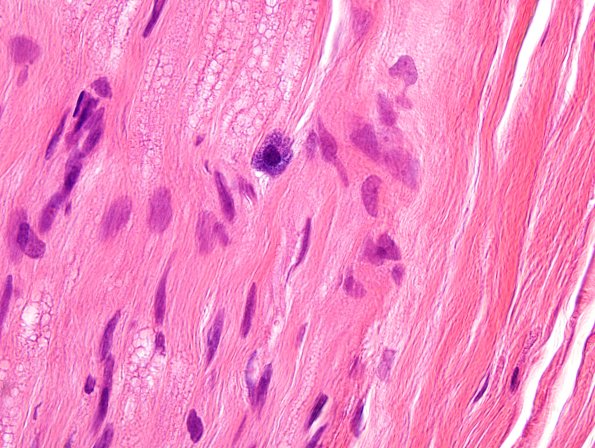
15A Mast Cell (Case 15) H&E 2
Another example of an endoneurial mast cell. (H&E)


Gallery RSS RSS Feed | Archive View | Login | Powered by Zenphoto