Table of Contents
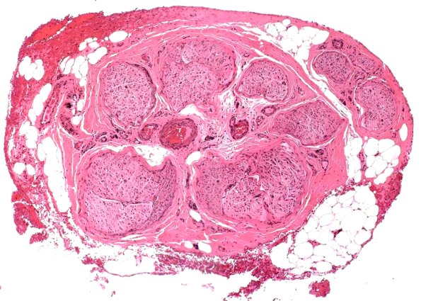
Washington University Experience | PERIPHERAL NEUROPATHY | 1 NORMAL NERVE ANATOMY | 1 Normal H&E | 1A1 Nl sural H&E (Case 1)
1A-5A Sural nerve biopsies from 5 individuals with minimal pathology (“normal nerves”). (H&E) ---- 1A This sural nerve shows 8 individual fascicles (typical sural nerve has 6-15 fascicles) bound together in dense connective tissue with contributing soft tissues including collections of fat cells. Particularly prominent in this nerve is a corona of plentiful small vessels including mostly veins, a few arterioles and a capillary contribution particularly in the endoneurium. (H&E)
