Table of Contents
Washington University Experience | PERIPHERAL NEUROPATHY | 1 NORMAL NERVE ANATOMY | 1 Normal H&E | 2A Normal Sural Nerve (Case 2)1
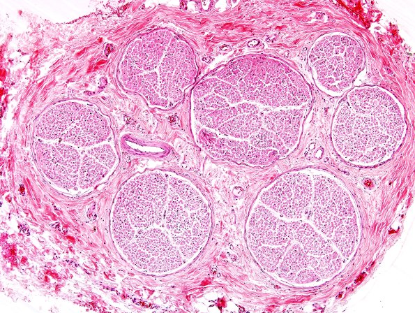
This sural nerve, in contrast, has only a few vessels and more fibrous tissue forming a compact structure. (H&E)
