Table of Contents



Washington University Experience | PERIPHERAL NEUROPATHY | 1 NORMAL NERVE ANATOMY | 1 Normal H&E | 3A1 Normal Nerve (Case 3) H&E 1

3A1 Normal Nerve (Case 3) H&E 1
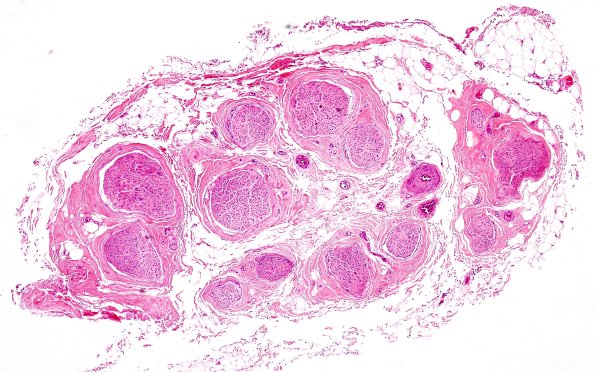
In this case the nerve fascicles are separated by fat and soft tissue. (H&E)


Gallery RSS RSS Feed | Archive View | Login | Powered by Zenphoto