Table of Contents



Washington University Experience | PERIPHERAL NEUROPATHY | 1 NORMAL NERVE ANATOMY | 1 Normal H&E | 3A2 Normal Nerve (Case 3) H&E 2

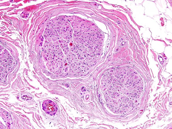
3A2 Normal Nerve (Case 3) H&E 2
Higher magnification of two fascicles in image #3A1. (H&E)


Gallery RSS RSS Feed | Archive View | Login | Powered by Zenphoto