Table of Contents



Washington University Experience | PERIPHERAL NEUROPATHY | 1 NORMAL NERVE ANATOMY | 1 Normal H&E | 4A Nl sural H&E (Case 4) 2

4A Nl sural H&E (Case 4) 2
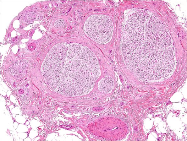
Notice the marked difference in the size of the individual fascicles. (H&E)


Gallery RSS RSS Feed | Archive View | Login | Powered by Zenphoto