Table of Contents
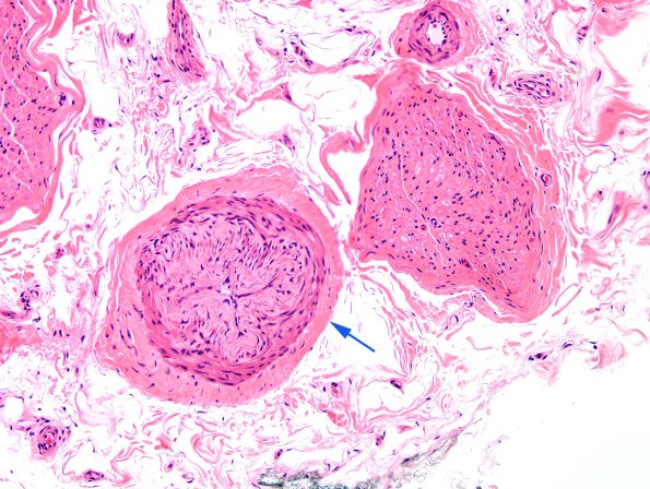
Washington University Experience | PERIPHERAL NEUROPATHY | 1 NORMAL NERVE ANATOMY | 1 Normal H&E | 7A Normal Sural nerve, normal, contracted vessel (Case 7) H&E copy
A common vascular appearance in which the wall appears particularly thickened or occluded (arrow) may follow fixation-induced spasm or adjacent crush induced intussusception rather than angiopathy. (H&E)
