Table of Contents



Washington University Experience | PERIPHERAL NEUROPATHY | 1 NORMAL NERVE ANATOMY | 1 Normal H&E | 9A Normal sural nerve (Case 9) Pacinian corpuscle H&E 2

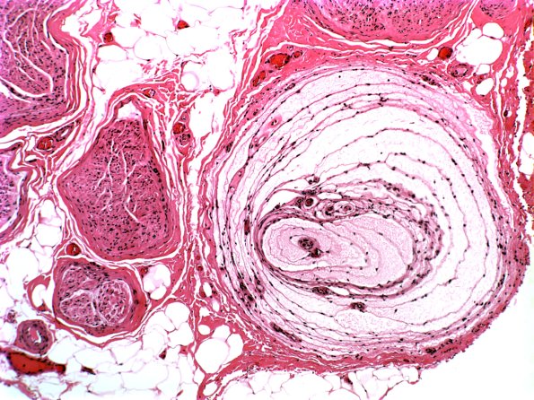
9A Normal sural nerve (Case 9) Pacinian corpuscle H&E 2
An additional example of a Pacinian corpuscle in the sural nerve. (H&E)


Gallery RSS RSS Feed | Archive View | Login | Powered by Zenphoto