Table of Contents
Washington University Experience | PERIPHERAL NEUROPATHY | 1 NORMAL NERVE ANATOMY | 2 Normal IHC | 1A1 Axons, normal nerve (Case 1) Anti-NF 4
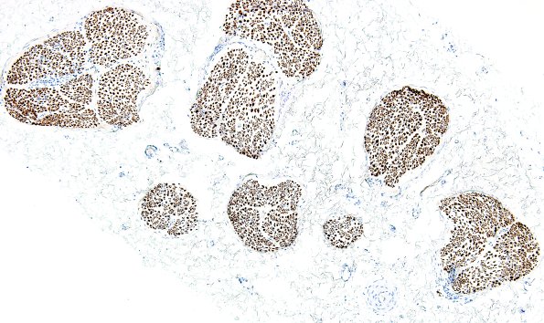
Normal Sural Nerve Immunohistochemistry: Immunohistologic localization permits the identification and detailed characterization of selected materials (neurofilaments, amyloid composition, myelin proteins and immunoglobulins), subtypes of inflammatory cells, and alterations of growth factors and receptors after nerve injury. ---- 1A1,2 A global view of axon density and possible intra- or interfascicular variation is provided by neurofilament immunohistochemistry. (NF IHC)
