Table of Contents
Washington University Experience | PERIPHERAL NEUROPATHY | 1 NORMAL NERVE ANATOMY | 2 Normal IHC | 3A1 Nerve fibers (Case 3) CD56 IHC NCAM 10X A
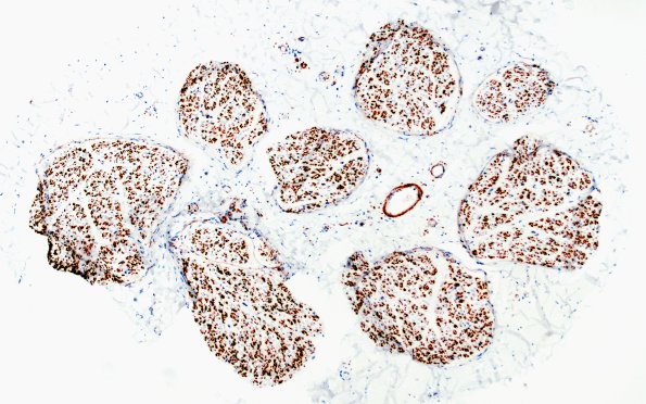
The normal sural nerve stained for NCAM (CD56) shows strong but selective endoneurial staining. (CD56 IHC)
