Table of Contents
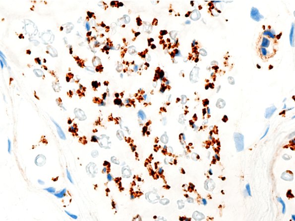
Washington University Experience | PERIPHERAL NEUROPATHY | 1 NORMAL NERVE ANATOMY | 2 Normal IHC | 3A4 Nerve fibers (Case 3) CD56 IHC NCAM 100X 2
NCAM staining is strong in Schwann cells ensheathing unmyelinated axons but shows little immunoreactivity in Schwann cells of myelinated axons. (NCAM IHC)
