Table of Contents
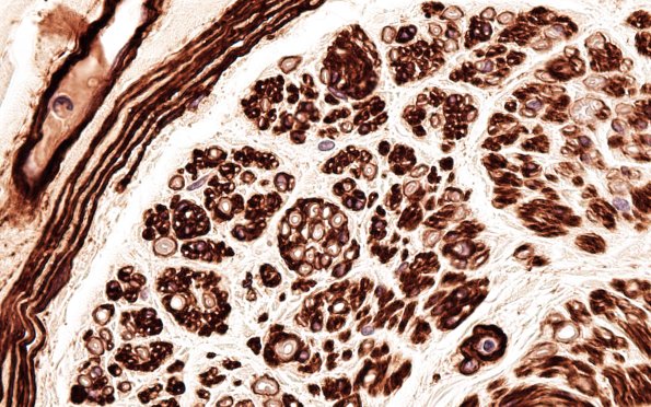
Washington University Experience | PERIPHERAL NEUROPATHY | 1 NORMAL NERVE ANATOMY | 2 Normal IHC | 4A3 Nerve fibers (Case 4) Coll IV 100X
Collagen IV stains basement membranes of vessels, perineurium and Schwann cells of both myelinated and unmyelinated axons. (Coll IV IHC)
