Table of Contents
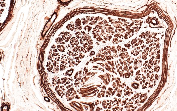
Washington University Experience | PERIPHERAL NEUROPATHY | 1 NORMAL NERVE ANATOMY | 2 Normal IHC | 5A Nerve fibers (Case 4) Coll IV 40X
Collagen IV stained nerve demonstrating the pattern of involvement of vessels, Schwann cells and perineurium. (Coll IV IHC)
