Table of Contents
Washington University Experience | PERIPHERAL NEUROPATHY | 1 NORMAL NERVE ANATOMY | 2 Normal IHC | 6A Normal Sural Nerve Coll IV 1 copy
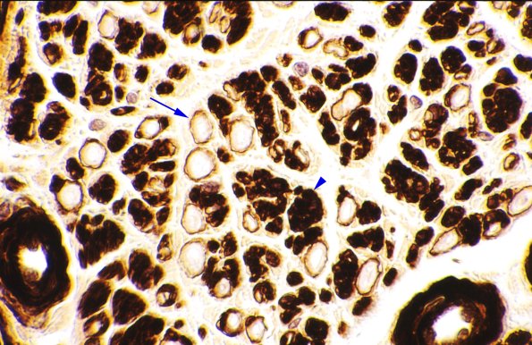
Schwann cell basement membrane stains unmyelinated axons strongly (arrowhead) and the external rim surrounding large myelinated axons (arrow). (Coll IV IHC)
