Table of Contents
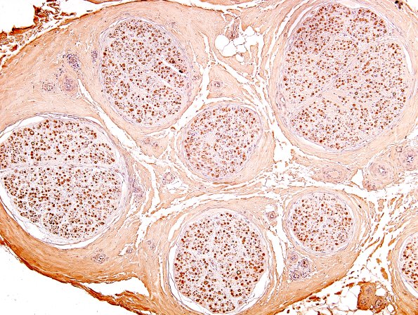
Washington University Experience | PERIPHERAL NEUROPATHY | 1 NORMAL NERVE ANATOMY | 2 Normal IHC | 7A1 Nerve, normal Myelin Basic Protein (ts) 3
7A1-3 Immunohistochemistry for Myelin Basic Protein (MBP) stains large and small myelinated axons and fails to stain unmyelinated axons. (MBP IHC)
