Table of Contents
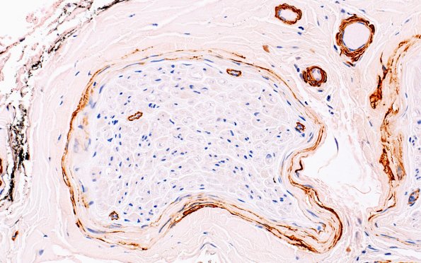
Washington University Experience | PERIPHERAL NEUROPATHY | 1 NORMAL NERVE ANATOMY | 2 Normal IHC | 8A2 Nerve fibers (Case 7) SMA
Smooth Muscle Actin (SMA) labels venules and arterioles strongly. The perineurium has a tendency to stain nonspecifically with a number of antibodies. (SMA IHC)
