Table of Contents
« prev
next »
Washington University Experience
|
PERIPHERAL NEUROPATHY
|
1 NORMAL NERVE ANATOMY
|
2 Normal IHC
|
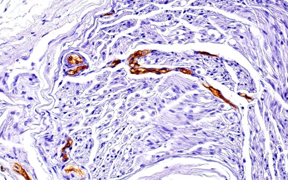
9A2 Ulex (Case 8) 40X 1
The lectin Ulex selectively stains endothelium. (Ulex lectin)
Image Info
Camera Maker:
Olympus
Camera Model:
DP74
Shutter Speed:
19/4000 sec
Metering Mode:
Multi-Spot
Gallery RSS
|
Archive View
|
Login
|
Powered by
Zenphoto