Table of Contents
Washington University Experience | PERIPHERAL NEUROPATHY | 1 NORMAL NERVE ANATOMY | 3 Normal Plastic Sections | 11A Normal Nerve (Case 11) Pacinian corpuscle plastic 1
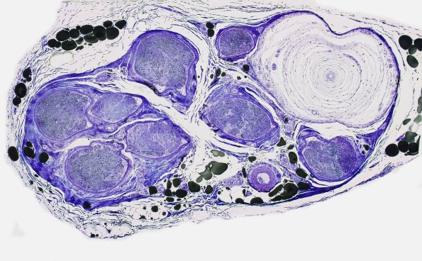
Another example of a Pacinian corpuscle in the sural nerve of a different case.
