Table of Contents



Washington University Experience | PERIPHERAL NEUROPATHY | 1 NORMAL NERVE ANATOMY | 3 Normal Plastic Sections | 12A2 Normal Nerve (Case 12) Plastic 6

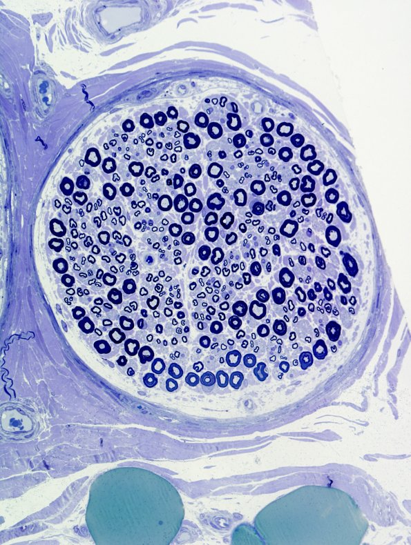
12A2 Normal Nerve (Case 12) Plastic 6
Another example of several magnifications of a normal sural nerve.


Gallery RSS RSS Feed | Archive View | Login | Powered by Zenphoto