Table of Contents
Washington University Experience | PERIPHERAL NEUROPATHY | 1 NORMAL NERVE ANATOMY | 3 Normal Plastic Sections | 14A2 Normal sural nerve (Case 14) best
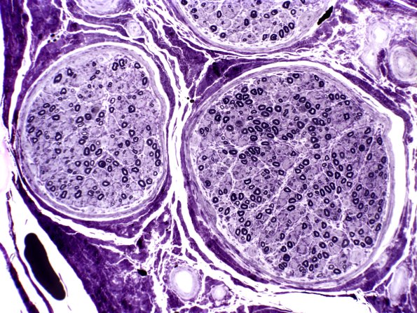
A compact sural nerve at several magnifications. The inter-fascicular axon density varies somewhat.
