Table of Contents



Washington University Experience | PERIPHERAL NEUROPATHY | 1 NORMAL NERVE ANATOMY | 3 Normal Plastic Sections | 15A2 Normal sural nerve (Case 15) Plastic 5

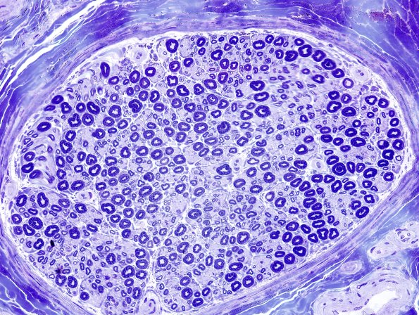
15A2 Normal sural nerve (Case 15) Plastic 5
Another example of a normal sural nerve.


Gallery RSS RSS Feed | Archive View | Login | Powered by Zenphoto