Table of Contents



Washington University Experience | PERIPHERAL NEUROPATHY | 1 NORMAL NERVE ANATOMY | 3 Normal Plastic Sections | 17A Normal Nerve (Case 17) artifact

17A Normal Nerve (Case 17) artifact
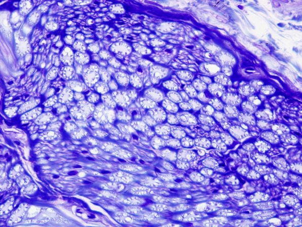
Another example of neurokeratin artifact or wagon-wheels.


Gallery RSS RSS Feed | Archive View | Login | Powered by Zenphoto