Table of Contents
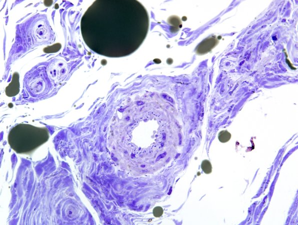
Washington University Experience | PERIPHERAL NEUROPATHY | 1 NORMAL NERVE ANATOMY | 3 Normal Plastic Sections | 18A Normal nerve, epineurial arterioles (Case 18) Plastic 1
This epineurial arteriole has interrupted densities representing elastin of the internal elastic lamina.
