Table of Contents
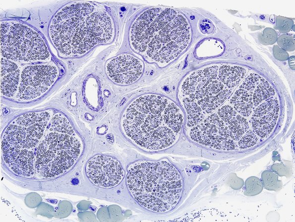
Washington University Experience | PERIPHERAL NEUROPATHY | 1 NORMAL NERVE ANATOMY | 3 Normal Plastic Sections | 1A1 Normal (near normal) Nerve (Case 1) 100X Plastic 2A
Low magnification image of biopsied sural nerve consisting of 9 fascicles with epineurium containing scattered small vessels, connective tissue and scattered surrounding fat cells.
