Table of Contents
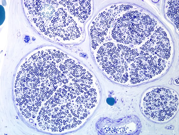
Washington University Experience | PERIPHERAL NEUROPATHY | 1 NORMAL NERVE ANATOMY | 3 Normal Plastic Sections | 1A2 Normal Sural Nerve 20X Magnification series (Case 1).jpg
1A2,3 Higher magnification images of individual fascicles.
