Table of Contents



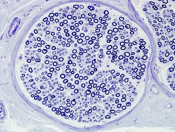
Washington University Experience | PERIPHERAL NEUROPATHY | 1 NORMAL NERVE ANATOMY | 3 Normal Plastic Sections | 1A3 Normal (near normal) Nerve (Case 1) 100X Plastic 1A

1A3 Normal (near normal) Nerve (Case 1) 100X Plastic 1A
Higher magnification images of individual fascicles.


Gallery RSS RSS Feed | Archive View | Login | Powered by Zenphoto