Table of Contents
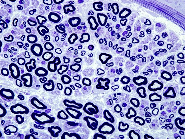
Washington University Experience | PERIPHERAL NEUROPATHY | 1 NORMAL NERVE ANATOMY | 3 Normal Plastic Sections | 1A5 Normal Nerve (Case 1), 1000X,paranodal.jpg
There are two populations of myelinated axons, at approximately a mean of 4 and 12 microns, respectively.
