Table of Contents
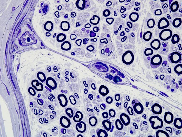
Washington University Experience | PERIPHERAL NEUROPATHY | 1 NORMAL NERVE ANATOMY | 3 Normal Plastic Sections | 1A7 Normal (near normal) Nerve (Case 1) 100X Plastic 7
A septum often splits one fascicle, possibly to prepare to gather functionally or select axons for discrete targets.
