Table of Contents
« prev
next »
Washington University Experience
|
PERIPHERAL NEUROPATHY
|
1 NORMAL NERVE ANATOMY
|
3 Normal Plastic Sections
|
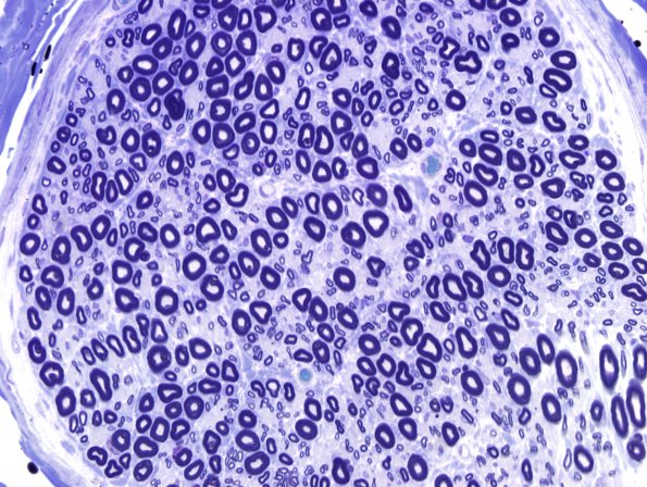
20A2-Minimal-NP-Case-20-Plastic-2.jpg
A sural nerve with minimal axon loss.
Image Info
Camera Maker:
Olympus Corporation
Camera Model:
DP71
Original Time Taken:
25-07-2008
Shutter Speed:
1/141 sec
ISO Sensitivity:
200
Metering Mode:
Spot
Gallery RSS
|
Archive View
|
Login
|
Powered by
Zenphoto