Table of Contents
Washington University Experience | PERIPHERAL NEUROPATHY | 1 NORMAL NERVE ANATOMY | 3 Normal Plastic Sections | 21A2 Pacinian Corpuscle (Case 21) Plastic 1
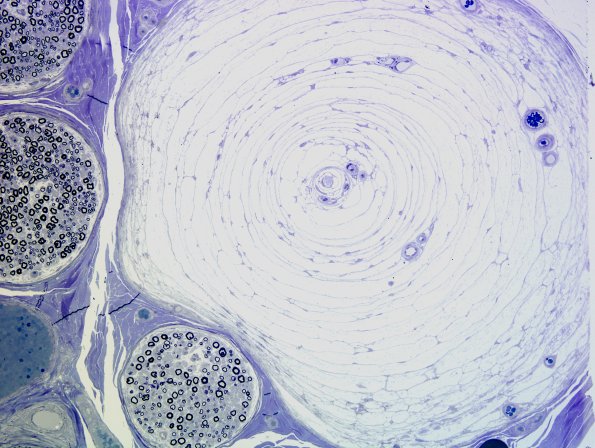
Pacinian corpuscles may substantially exceed nerve fascicle diameters. This Pacinian corpuscle, seen at two magnifications, shows several small vessels within the lamellae.
