Table of Contents
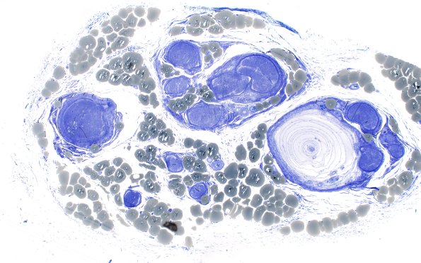
Washington University Experience | PERIPHERAL NEUROPATHY | 1 NORMAL NERVE ANATOMY | 3 Normal Plastic Sections | 22A1 Pacinian corpuscle (Case 22) Plastic 4X
22A1-3 An atypical Pacinian corpuscle shows a central aggregate of 3 tiny vessels rather than the expected non-myelinated axon.
