Table of Contents
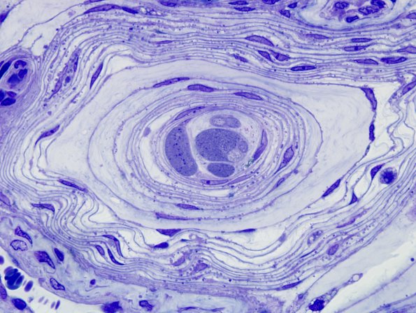
Washington University Experience | PERIPHERAL NEUROPATHY | 1 NORMAL NERVE ANATOMY | 3 Normal Plastic Sections | 23A2 Pacinian corpuscle, intrafascicular (Case 23) Plastic 100X
Are the swollen structures dilated dystrophic axons?
