Table of Contents
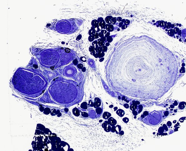
Washington University Experience | PERIPHERAL NEUROPATHY | 1 NORMAL NERVE ANATOMY | 3 Normal Plastic Sections | 24A Pacinian Corpuscle (Case 24) Plastic 4x a.jpg
The Pacinian corpuscle is comparable in size to the entire sural nerve.
