Table of Contents



Washington University Experience | PERIPHERAL NEUROPATHY | 1 NORMAL NERVE ANATOMY | 3 Normal Plastic Sections | 2A1 Normal Nerve (Case 2) Plastic 3

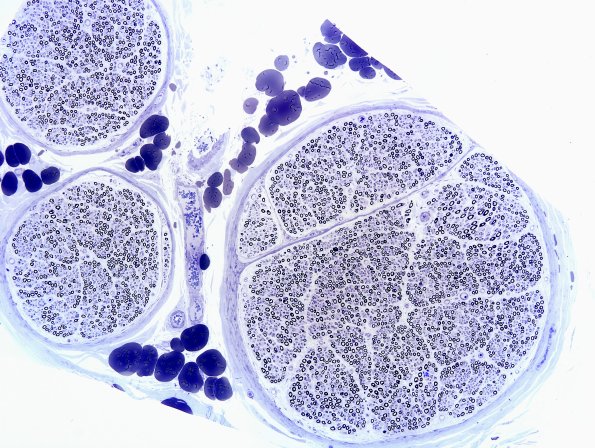
2A1 Normal Nerve (Case 2) Plastic 3
In this case the density of axons is similar in all 3 illustrated fascicles.


Gallery RSS RSS Feed | Archive View | Login | Powered by Zenphoto