Table of Contents
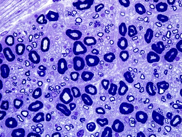
Washington University Experience | PERIPHERAL NEUROPATHY | 1 NORMAL NERVE ANATOMY | 3 Normal Plastic Sections | 3A5 Nearly Normal Nerve, pi granules (Case 3) Plastic 3.jpg
High magnification showing large and small myelinated axons and unmyelinated axons.
