Table of Contents
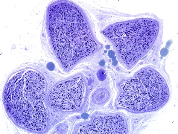
Washington University Experience | PERIPHERAL NEUROPATHY | 1 NORMAL NERVE ANATOMY | 3 Normal Plastic Sections | 4A1,2 1C15 Nerve, near normal (Case 4) Plastic 4.jpg
4A1,2 The fascicles seen in this low magnification image are not round and have the appearance of being distorted by compression. This typically happens when the surgeon attempts to take a small biopsy rather than a lengthy (~3-4 cm) one; a long segment will not jeopardize quality of the biopsy when cutting the unfixed nerve for multiple different preparations (i.e., frozen section, paraffin, electron microscopy). Dehydration during processing can also change fascicle shape but is not a cause in most cases.
