Table of Contents
Washington University Experience | PERIPHERAL NEUROPATHY | 1 NORMAL NERVE ANATOMY | 3 Normal Plastic Sections | 4A2 Nerve, near normal (Case 4) Plastic 7.jpg
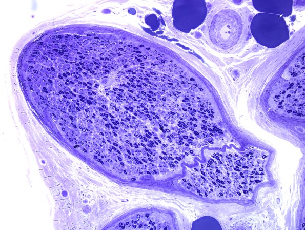
The fascicles seen in this low magnification image are not round and have the appearance of being distorted by compression.
