Table of Contents
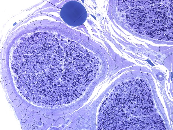
Washington University Experience | PERIPHERAL NEUROPATHY | 1 NORMAL NERVE ANATOMY | 3 Normal Plastic Sections | 5A2 Nerve, near normal (Case 5) Plastic 2.jpg
Again, there is some compression pressing one fascicle into another and changing their contours.
